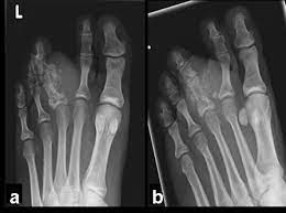
What Does Bone Cancer In The Foot Look Like : Wolf In Sheep S Clothing Metatarsal Osteosarcoma Mdedge Hematology And Oncology - Bone metastases are made up of abnormal cancer cells that started from the original (primary) tumor site.
Dapatkan link
Facebook
X
Pinterest
Email
Aplikasi Lainnya
What Does Bone Cancer In The Foot Look Like : Wolf In Sheep S Clothing Metatarsal Osteosarcoma Mdedge Hematology And Oncology - Bone metastases are made up of abnormal cancer cells that started from the original (primary) tumor site.. Early on, the pain may only occur at night, or when you are active. Sometimes, people with bone sarcoma do not have any of these changes. It can also be like an intermittent. The affected leg or joint develops pain that is often described as consistent and dull, like a persistent ache. Symptoms like leg pain or joint pain in young children, are often attributed to their active lifestyle, and are brushed aside or dismissed.
Bone infections are most common in the leg, feet, hand, and arm bones. Lumps, swellings, fractures, joint tenderness and pain are some common symptoms of bone cancer in ankle and foot. This article looks closely at the types of foot melanoma and explains how to recognize the symptoms. A tumor that has metastasized to bone is not made of bone cells. Grade 2 (g2) falls somewhere in between.
Symptoms Of Bone Cancer Swelling Health Love from healthlove.in A tumor that has metastasized to bone is not made of bone cells. It is important that all these symptoms are identified at an early stage so, to. Squamous cell carcinoma is the most common form of cancer on the skin of the feet. Ct scans are usually used to help form an initial bone cancer diagnosis and to see whether the cancer. Paget's disease causes hot spots along the spine, pelvis, long bones and skull. Osteosarcoma, the most common bone cancer, usually happens to people ages 10 to 30 and most often starts in the arms, legs, or pelvis. Bone pain can cause a dull or deep ache in a bone or bone region (e.g., back, pelvis, legs, ribs, arms). Other types of bone cancer include chondrosarcoma, fibrosarcoma, and hemangiosarcoma.
Lumps, swellings, fractures, joint tenderness and pain are some common symptoms of bone cancer in ankle and foot.
The affected leg or joint develops pain that is often described as consistent and dull, like a persistent ache. Bone metastases are made up of abnormal cancer cells that started from the original (primary) tumor site. Bone cancer can begin in any bone in the body, but it most commonly affects the pelvis or the long bones in the arms and legs. Bone cancer can affect any bone in the body. Bone cancer develops in the skeletal system and destroys tissue. Bone pain can cause a dull or deep ache in a bone or bone region (e.g., back, pelvis, legs, ribs, arms). People with bone sarcoma may experience the following symptoms or signs. For instance, lung cancer that spreads to the bone is made of lung cancer cells. The usual treatment for bone cancer is surgery, and it has a good outlook. The scale used for grading bone cancer is from 1 to 3. Skin cancer is a general term for three distinct cancers that can appear on the foot: Foot melanoma refers to cancer of the cells in the top layer of the skin on the foot. It can also be like an intermittent.
A benign bone tumor of the foot will manifest as a lump, with or without pain, whereas bone cancer is most often accompanied by pain at the location of the tumor. Whether primary or metastatic, cancer in the bones may present with symptoms such as increasing pain, swelling and/or a more sudden intense pain from a pathologic fracture —a fracture that occurs in a bone that has been weakened by the presence of tumor. When a bone tumor grows, it presses on healthy bone tissue and can destroy it, which causes the following symptoms: Grade 2 (g2) falls somewhere in between. Basal cell cancers may appear as pearly white bumps or patches that may ooze or crust and look like an open sore.
Bone Tumor Of The Foot Symptoms And Causes from www.footvitals.com Grade 3 (g3) means the cancer looks very abnormal. Or, the cause of a symptom may be a different medical condition that is not cancer. Bone cancer often spreads (metastasizes) from other cancer sites, such as the breasts, lungs, liver, pancreas, and prostate gland. Basal cell cancers may appear as pearly white bumps or patches that may ooze or crust and look like an open sore. People with bone sarcoma may experience the following symptoms or signs. Bone cancer can affect any bone in the body. It may resemble a plantar's wart or a foot ulcer, and it may feel scaly. Cancer hot spots can be seen in virtually any bone.
People with a fracture next to or through a bone tumor usually describe sudden severe pain in a bone that had been sore for a few months.
A benign bone tumor of the foot will manifest as a lump, with or without pain, whereas bone cancer is most often accompanied by pain at the location of the tumor. In fact, noncancerous bone tumors are much more common than cancerous ones. Other types of bone cancer include chondrosarcoma, fibrosarcoma, and hemangiosarcoma. Local treatments focus on just the bone or bones where the cancer spread. Although most lymphomas begin in the lymph nodes, the condition can start anywhere in the body. Cancer hot spots can be seen in virtually any bone. Other conditions, like osteoporosis or arthritis, may also cause bone or joint pain. When a bone tumor grows, it presses on healthy bone tissue and can destroy it, which causes the following symptoms: Bone infections are most common in the leg, feet, hand, and arm bones. Plb is very rare, accounting for only about 3 percent. Most cases of bone cancer develop in the long bones of the legs or upper arms. Bone tumors of the foot are rare, comprising only three to six percent of all bone tumors, and are benign in 75 to 85 percent of cases (sarcoma, 2013). Bone cancer is rare, making up less than 1 percent of all cancers.
The affected leg or joint develops pain that is often described as consistent and dull, like a persistent ache. Bone metastases are made up of abnormal cancer cells that started from the original (primary) tumor site. Pain is the most common symptom of bone cancer. Bone cancer can begin in any bone in the body, but it most commonly affects the pelvis or the long bones in the arms and legs. It may resemble a plantar's wart or a foot ulcer, and it may feel scaly.
Foot Bump On Top Of The Foot Consulting Footpain from consultingfootpain.co.uk Other types of bone cancer include chondrosarcoma, fibrosarcoma, and hemangiosarcoma. Melanoma, basal cell carcinoma and squamous cell carcinoma. Bone cancer can begin in any bone in the body, but it most commonly affects the pelvis or the long bones in the arms and legs. Cancer hot spots can be seen in virtually any bone. Bone cancer is a fairly rare disease, so if you've developed bone pain, don't jump to conclusions. The tibia is the larger of the two long bones between the knee and ankle. It may resemble a plantar's wart or a foot ulcer, and it may feel scaly. What bone metastasis looks like.
Paget's disease causes hot spots along the spine, pelvis, long bones and skull.
Bone cancer can begin in any bone in the body, but it most commonly affects the pelvis or the long bones in the arms and legs. A benign bone tumor of the foot will manifest as a lump, with or without pain, whereas bone cancer is most often accompanied by pain at the location of the tumor. The affected leg or joint develops pain that is often described as consistent and dull, like a persistent ache. Bone infections are most common in the leg, feet, hand, and arm bones. The bone may look ragged, or it may appear to have a hole in it. A cancerous tumor is a body of tissue consisting of cells that have undergone genetic changes, causing them to grow in an uncontrolled way. Lymphoma is a cancer that arises from lymphocytes, a type of white blood cell. They work to destroy the tumor or slow down the growth of cancer cells. Most cases of bone cancer develop in the long bones of the legs or upper arms. Sometimes, people with bone sarcoma do not have any of these changes. Aside from looking like a changing mole, a melanoma on the foot can appear as a: It can spread to distant organs, such as the lungs. The tibia is the larger of the two long bones between the knee and ankle.
What Does.throat Cancer Look Like / Throat Cancer Surgery Mediglobus / Throat cancer may also look like unusual white patch of tissue termed as leukoplakia. . What does the beginning of throat cancer look like? My throat cancer was not caused by drinking or smoking because i have never done either. What does throat cancer feel like? answered by dr. Look out for the following signs and symptoms to detect it as early as possible. Throat cancer the term head and neck cancer refers to a group of biologically similar cancers originating from the upper aerodigestive tract, including the album was released by atlantic records on june 8, 2010. Throat cancer symptoms can be mistaken for less serious health conditions, for example a cough or sore throat, but it's always important to get these checked out so you can receive the appropriate treatment straight away. Throat cancer refers cancer that develops in your throat (pharynx) or voice box (larynx). Throat cancer is a co...
Selengkapnya→ jumat, 05 nov 2021 oleh: Peraturan kepala bkn nomor 1 tahun 2013: Surat edaran bupati terkait jam kerja baru bagi asn di kabupaten kotawaringin timur tahun 2018. Dalam rangka memperingati hari jadi kabupaten temanggung ke 187 tahun 2021, pemerintah kabupaten temanggung mengadakan gerakan kebersihan secara serempak di jalan protokol kabupaten temanggung pada jum'at (05/11/2021). Dalam rangka melaksanakan ketentuan peraturan gubernur nomor 184 tahun 2017 tentang pemutakhiran data kepegawaian dan surat edaran kepala badan kepegawaian daerah nomor 9/se/2020 tanggal 12 februari 2021 tentang pemutakhiran data kepegawaian serta guna pengintegrasian dengan sistem informasi lainnya di lingkungan pemerintah provinsi dki jakarta, … Kalender Pendidikan Tahun Pelajaran 2020/2021 SD/MI dan from 1.bp.blogspot.com 27.11.2021 · 30 juni se...
What Is The Date For Cancer - Cancer Zodiac Sign Dates Personality Compatibility : Cancer dates only if there's an opportunity for a happy, fulfilling relationship. . Go to a wine and pottery night at your local studio. The cancer man is looking for someone who understands the way he feels and who can offer support. We look at each of these cancer traits in detail below. Normally, human cells grow and multiply (through a process called cell division) to form new cells as the body needs them. This date may be found attached to a letter of referral or a patient's medical record from another institution or hospital. Normally, human cells grow and multiply (through a process called cell division) to form new cells as the body needs them. The most loyal and caring of all the signs, cancer is also a bundle of dynamism and complexity. It starts when cells grow out of control and crowd out normal cells. Born with extremely high capability for empathy, they can have ...
Komentar
Posting Komentar